JVID 公共卫生学院吴序栎博士团队在国际学术期刊《Food Chemistry》发表文章
2020年10月24日,JVID
公共卫生学院吴序栎博士团队在国际学术期刊《Food Chemistry》(影响因子6.306,中科院JCR 1区,TOP期刊)上发表了题为“Effect of heat, enzymatic hydrolysis and acid-alkali treatment on the allergenicity of silkworm pupa protein extract”的研究论文。吴序栎副教授为该论文的独立通讯作者,JVID
为该论文的第一单位和唯一通讯单位。


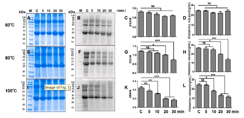
家蚕是具有中国特色的经济昆虫,蚕蛹富含蛋白质,是一种高营养食物,是我国批准唯一的可食用昆虫。但食用蚕蛹有可能导致食物过敏。本论文以蚕蛹蛋白为研究对象,报道了其在不同温度、pH及不同消化处理条件下致敏性变化,探讨不同条件下对蛋白致敏性影响的规律,并发现蚕蛹中的25 和 33 kD蛋白耐热、耐酸碱并耐消化酶酶解。本研究丰富了中国特色过敏原的基础研究,为降低蚕蛹蛋白的致敏性提供了理论参考。
本研究工作得到了广东省重点研发项目(No. 2019B020213001)和深圳市技术创新计划 (No. JCYJ20180305163606176)的支持。


用户登录
还没有账号?
立即注册