JVID 药学院程永现特聘教授团队发现射干种子中靶向线粒体的
衰老可累及多个脏器,包括肾脏,其中“人老肾先衰”就指出肾脏与衰老伴随的紧密关系。目前我国慢性肾脏病(chronic kidney disease;CKD)患者已超过1亿人,CKD在衰老群体的发病率高出年轻群体3倍以上,CKD的肾组织处于“提前衰老”状态。细胞衰老在CKD早期肾小球滤过率正常时即出现,并与CKD的发生发展密切相关。衰老的细胞线粒体功能损伤、产生ATP能力低下、修复能力下降、并可分泌多种炎症因子和促纤维化因子,产生旁分泌效应,诱导器官组织结构改变和功能损伤。CKD治愈难度较大,且其常合并多种心血管系统并发症而导致高死亡率,因此近年提出要将抵抗细胞衰老作为治疗CKD的中心手段。
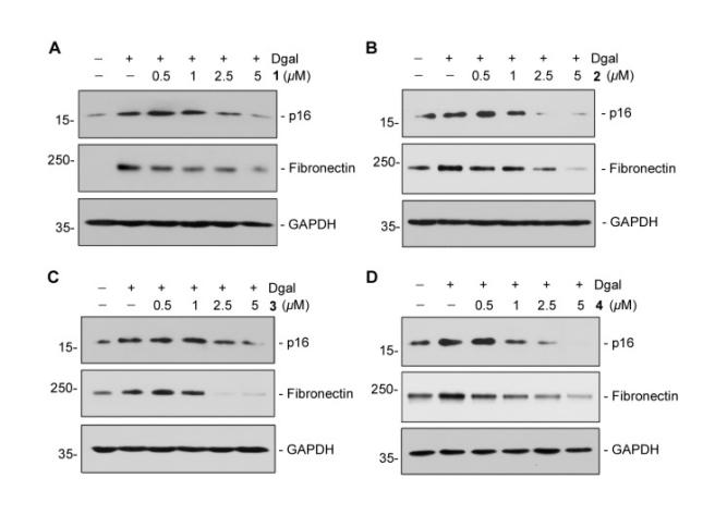
程永现教授团队长期从事中医药科学原理研究,尤其在中药抗慢性肾病功效成分研究方面积淀较多。近期其与中科院昆明植物研究所联合培养的硕士生宋影影在对射干种子研究过程中,从中分离鉴定了4个新骨架三萜Belamchinanes A−D,并将其命名为射干烷类三萜,其结构新颖之处在于羊齿烷三萜A环开裂后C-1与C-11连接,构建了一个张力较大的四元环,从而使得此类化合物具备了4/6/6/6/5的新颖环系。他们进一步与南方医院侯凡凡院士、周丽丽教授团队合作,发现Belamchinanes能有效地抵抗半乳糖诱导的肾小管上皮细胞的衰老,抑制衰老标志蛋白p16的产生,进而阻断衰老诱导的肾脏纤维化效应;并且这些成分对衰老引起的细胞线粒体功能损伤具有很好的保护作用,能够明显改善线粒体的生物合成功能,恢复线粒体氧化呼吸链复合物的转录功能。该研究丰富了三萜类化合物的结构家族,并为进一步开发抵抗衰老的线粒体靶向药物奠定了扎实基础。以上研究成果于2018年8月29日在线发表在Nature Index收录的Org Lett(doi:10.1021/acs.orglett.8b02490),程永现教授培养的硕士生宋影影和南方医院苗金华为论文的共同第一作者,程永现、周丽丽、侯凡凡三位教授为共同通讯作者。
该工作受到国家杰出青年科学基金(81525026)、国家重点研发计划(蛋白质机器与生命过程调控专项2017YFA0503900)、国家优秀青年科学基金(81722011)等项目的资助。
原文链接://pubs.acs.org/doi/10.1021/acs.orglett.8b02490




用户登录
还没有账号?
立即注册