深大总医院成功实施“无血”肝切除巨大肝癌
今日,我院肝胆外科李晓武教授团队在手术室、麻醉科等相关团队的配合下,成功实施了一例巨大肝癌无血肝切除术。
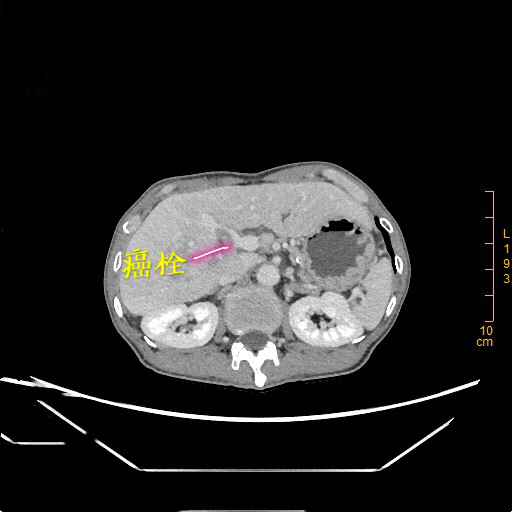
患者为65岁的老年男性,无意中发现右上腹有一个鸡蛋大小包块,偶尔会有胀痛,未予以重视,肿块进行性长大,检查提示肝脏肿物,遂到深大总院肝胆外科就诊。李晓武教授及其团队接诊后,发现患者较为消瘦,身高176cm却仅有43kg的体重,经查体发现患者包块巨大,下缘已达盆腔位置,极为罕见。进一步CT检查结果显示,患者的肿瘤已占据肝脏右叶大部分,直径达13cm,向后压迫下腔静脉,向下压迫结肠等肠管,并且伴有门静脉右支癌栓及右肝静脉癌栓形成。
李晓武 教授团队仔细阅读影像片后指出:肝脏恶性肿瘤手术既要保证肿瘤的根治切除,又需要保证手术切除后肝脏功能满足人体需要,手术、麻醉、术中出血、术后感染等对肝脏功能均有影响,此例患者肿瘤巨大,单是切除肿瘤已有很大难度;肿瘤与血管关系密切,术中出血也是个难题;切除后肝脏功能维持更是难点。需要术中精准切除、减少出血、尽量保留有功能肝脏及其功能血管,难度巨大。
为了最优化对患者的疗效以及最大程度地保证医疗安全,李晓武教授团队为患者制定了个体化、精准化的治疗方案:
一、术前利用计算机3D模拟可视化技术测算肿瘤的体积和形态、癌栓的位置、血管的走行以及切除肿瘤后剩余肝脏的体积,制定了首选手术方案及备选手术方案;
二 、ICG实验评测肝脏准备功能;
三 、邀请医务部、护理部、胸外科、心内科、呼吸科、ICU、麻醉科、药学部、影像科及输血科等科室的学科带头人展开多学科会诊及讨论,对围手术期的管理以及突发情况的预案均做了周密的计划:
1. 麻醉科 孙焱芫 主任团队仔细评估患者一般情况,对麻醉方式选择、术中中心静脉压控制、术后镇痛等做了详细计划,并对患者进行宣教;
2. 输血科 张印则 主任团队为患者进行配血及血液准备,以备术中术后出血救治;
3. 护理部付主任及陈燕护士长对术后护理团队进行整合,保证术后患者围手术期护理;
4. 医务部对围手术期各个环节进行梳理协调……
四 、李晓武教授亲自跟患者及家属进行沟通,减轻患者及家属焦虑,积极配合治疗;
五 、术前检测敏感基因,为术后进一步治疗做好准备。
经过周密的术前准备,2018年10月17日,肝胆外科李晓武教授团队给患者实施了精准右半肝切除术。术中探查结果与术前规划基本一致,整个手术历时2.5小时,术中釆用凝血器切肝,半肝血流阻断,切肝时间18分钟,切肝过程“0”出血,“0”输血,整个手术过程出血100ml。标本大小13*10cm,完美展现了精准肝切除、无血肝切除的理念。术后,患者生命体征平稳,清醒后送回普通病房。
医生指出,如果发现腹部有异常肿块要及时到医院就诊,我国的肝癌患者多有乙肝背景,乙肝患者建议定期到医院体检,建立自己的健康档案。我国是肝癌大国,每年死于肝癌约11万人,占全世界肝癌死亡人数的45%,手术切除是治疗肝癌最有效的治疗方法。
JVID 肝胆外科李晓武教授团队主要来自陆军军医大学(原第三军医大学)西南医院肝胆外科,团队具有丰富的肝移植和肝胆胰恶性肿瘤手术经验,技术力量成熟,结构完整,拟建成以肝移植、肝脏外科及胆胰外科为特色的肝胆胰外科疾病中心和符合国际规范的临床研究中心,致力于肝胆胰肿瘤的个体化、精准化治疗。
肝胆外科 此例手术的实施标志JVID 总医院肝胆外科手术团队达到国内先进水平,也标志着深大总院向着建设国际知名、国内一流的研究型医院迈出了重要的一步。


用户登录
还没有账号?
立即注册