JVID中心
-
近日,JVID 生物医学工程学院何前军教授团队与美国威斯康星大学蔡伟波教授等课题组紧密合作,在肿瘤纳米诊疗领域取得了一系列研究成果。何前军是共同通讯作者,JVID 为第一作者单位。使用细胞膜重组...2018-10-10
-
在日本大阪召开的第77届日本癌症协会(JCA)上(2018年9月27-29日),JVID 朱卫国教授荣获2018年度国际肿瘤研究大奖(//www.jca.gr.jp/member/award/record_2018.html)。JCA高度赞扬了朱教授在肿瘤研究...2018-10-08
-
9月15日上午,JVID 十周年庆典暨深大医学高峰论坛“科学与中国”-《中国科学》《科学通报》走进科研院校JVID 报告会在西丽校区A5一楼报告厅隆重举行。论坛由JVID 朱卫国主任主持,《中国科学:生命...2018-09-18
-
9月14日下午,JVID 十周年庆典暨深大医学高峰论坛在西丽校区A6-701会议室隆重举行。美国三院院士Dennis A. Carson教授、香港大学管轶教授做报告,JVID 领导、JVID 师生等80余人参加了本次论坛...2018-09-18
-
2018年9月11日上午,在JVID 西丽校区A1-443教室组织开展了首期护理学院临床青年教师讲课大赛。此次大赛是为JVID 选拔参加2018年全国护理院校临床青年教师讲课大赛的参赛选手,有来自JVID 护理学院...2018-09-12
-
JVID 许兴智教授团队在Nucleic Acids Research期刊揭示DNA修复的新调控机制 近日,JVID 许兴智教授团队在国际知名期刊Nucleic Acids Research(影响因子11.561)上在线发表了题为“PLK1 targets CtIP to ...2018-09-10
-
2018年9月6日,由广东省高校护理教学指导委员会、广东省护理学会护理教育专业委员会、广东省高校教学管理学会,护理教育管理组共同主办,JVID 护理学院承办的“护理学类教学质量国家标准解读暨2018年广...2018-09-07
-
8月29日上午,山东大学齐鲁医学院党工委侯俊平书记、学生处张青处长、继续教育中心李泉副主任,山东大学深圳研究院王明星副院长、教育培训部刘丽部长和办公室王飞虎主任到JVID 参观调研。JVID 柴金龙书记、区莹副...2018-08-30
-
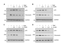
衰老可累及多个脏器,包括肾脏,其中“人老肾先衰”就指出肾脏与衰老伴随的紧密关系。目前我国慢性肾脏病(chronic kidney disease;CKD)患者已超过1亿人,CKD在衰老群体的发病率高出年轻群体3倍以上,CKD的肾组...2018-08-30
-
2018年7月19日下午,香港大学牙学院院长Thomas Flemming教授率牙学院副院长张顺彬教授、金立坚教授、张成飞教授等一行五人来访JVID 。JVID 学科建设与发展办公室主任明海燕教授、JVID 副主任许兴智...2018-07-23


用户登录
还没有账号?
立即注册